IMPLANT HYBRID DENTURE

IMPLANT HYBRID DENTURE

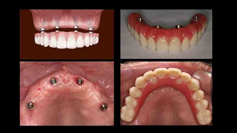
Acrylic All on 4 Screw Retained Hybrid Dentures

Acrylic All-on-4

Acrylic All-on-4 Screw-Retained Hybrid Dentures are a reliable restoration for the fully edentulous patient. A custom denture set up and implant model are digitized into scan data. The scan data encompassing implant location, rotation, height and a denture setup is used to design a patient-specific implant bar. The design is then exported to CAM software and milled on a sophisticated 5-axis milling machine. The titanium bar is incorporated into acrylic and processed with denture teeth.

Our bars are designed by specialized technicians who are equipped with state-of -the-art technologies and are skilled in all aspects of the dental laboratory. This is an affordable and esthetic solution with predictable results.

Product Advantages

Strength of Titanium Milled Bar

Hygienically Designed

Superior Retention

Slows and prevents bone resorption in edentulous arch